Odontología Estética
Conciencia y Uso de la Inteligencia Artificial en el Diseño de Sonrisas y la Planificación Protésica
Una Encuesta Transversal entre Profesionales de la Odontología
Odontología Estética
Implicaciones prácticas en la estética dental contemporánea
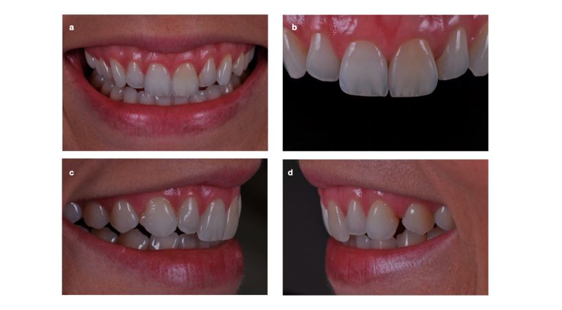
Evaluación de la selección de tonos mediante escáneres intraorales
Odontología Estética