Maxilofacial
Toxina botulínica versus Proloterapia con dextrosa
¿cuál es más eficaz para la subluxación de la articulación temporomandibular? Un ensayo clínico aleatorizado
Maxilofacial
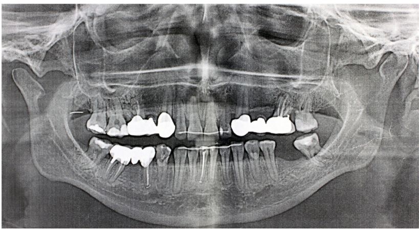
Cambios somatosensoriales del nervio alveolar inferior posterior a exodoncia de cordal impactada
Visualización endoscópica
Maxilofacial
La técnica Socket-Shield
Planificación digital, cirugía guiada y carga inmediata de implantes: seguimiento de 2 años
Maxilofacial
Cuerpos extraños causados por el tratamiento dental en la cabeza y el cuello
Un desafío quirúrgico
Maxilofacial
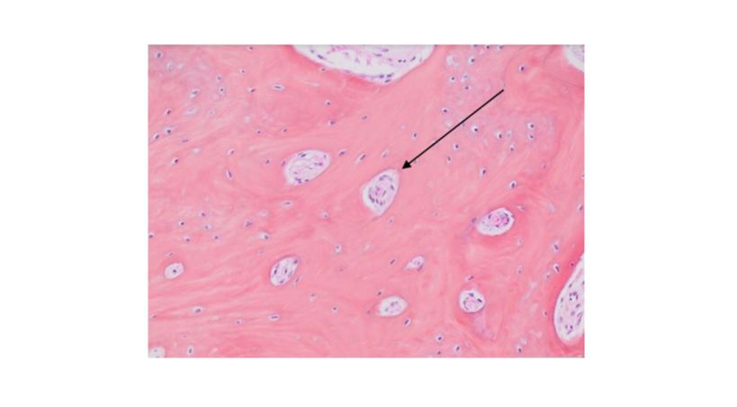
Injerto de dentina derivado como regeneración ósea autóloga en cirugía de implantes
Una investigación histológica y radiográfica
Maxilofacial