Estudio clínico sobre los efectos del blanqueamiento y la sensibilidad dental de agentes de blanqueamiento domiciliario que contienen peróxido de hid

Feb 13 de 2026 0

Resumen

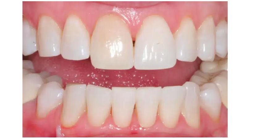
Este estudio tuvo como objetivo comparar la eficacia del blanqueamiento dental y la prevalencia de la sensibilidad dental entre sistemas de blanqueamiento domiciliario con peróxido de hidrógeno al 6% (HP) y peróxido de carbamida al 10% (CP).

Se seleccionaron cuarenta y ocho pacientes, que se dividieron en dos grupos: 6% HP (Tion Take Home With, WI) y 10% CP (Tion Take Home Platinum, PL). Ambos grupos siguieron las instrucciones del fabricante. Los procedimientos de blanqueamiento se realizaron durante un período de 10 días, con aplicaciones de 1 hora diaria en el grupo WI, y durante 14 días, con aplicaciones de 2 horas diarias en el grupo PL.

Los cambios de color dental se midieron con un espectrofotómetro. La intensidad del dolor se evaluó mediante una escala numérica de valoración. No se encontraron diferencias significativas entre los grupos en ΔE*ab, ΔE00 y ΔWID. La sensibilidad dental fue más frecuente en el grupo WI que en el grupo PL.

El uso de peróxido de hidrógeno al 6% durante 10 días fue tan eficaz como el uso de peróxido de carbamida al 10% durante 14 días.

Suda S, Takamizawa T, Ishii R, Shibasaki S, Muto R, Watanabe S, Aoki R, Suzuki S, Miyazaki M. Clinical study on whitening effects and tooth sensitivity of home-whitening agents containing 6% hydrogen peroxide. Dent Mater J. 2026 Jan 28;45(1):47-54. doi: 10.4012/dmj.2025-119. Epub 2025 Nov 29. PMID: 41320250.

Comparte esta noticia



Últimas Noticias

0 Comentarios

Para comentar debes haber iniciado sesión

Iniciar sesión