Manejo de crisis hipertensiva en cirugía maxilofacial. Reporte de caso clínico

May 23 de 2023 0

Resumen

Introducción: un aumento marcado de la tensión arterial puede llevar a una crisis hipertensiva, que consiste en una elevación considerable de la tensión arterial (>180 mmHg en sístole y >120 mmHg en diástole). De no ser tratada, puede llevar a la pérdida progresiva de la conciencia, así como provocar daños irreversibles a algún órgano blanco, por ejemplo, el hígado, el riñón o el cerebro. Se puede clasificar en urgencia o emergencia hipertensiva. Así, una urgencia hipertensiva se presenta cuando el paciente cuenta con cifras elevadas en la tensión arterial sin provocar daño a un órgano blanco y, en contraparte, una emergencia hipertensiva cumple con las cifras que se mencionaron, pero incluye daño a un órgano blanco. 

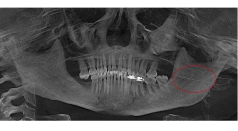
Objetivo: presentar un caso clínico, en el cual, durante la extracción quirúrgica de una aguja fracturada, en el período transoperatorio, el paciente sufre síncope vasovagal, con un aumento marcado de la tensión arterial (179/119 mmHg).

 Conclusión: este fue un diagnóstico intraoperatorio de crisis hipertensiva y la paciente recibió un tratamiento médico temprano por parte del servicio de urgencias médicas, lo cual resultó en una evolución trans y postoperatoria adecuada.

Galindo-Velázquez, G., Torres–Cruz, Y. J., Ayala–González, D. A., Jiménez–Zúñiga, F. y Palma–Medina, J. E. (2023). Manejo de crisis hipertensiva en cirugía maxilofacial. Reporte de caso clínico. Acta Odontológica Colombiana, 13(1), 91–103. https://doi.org/10.15446/aoc.v13n1.103325

Comparte esta noticia



Últimas Noticias

0 Comentarios

Para comentar debes haber iniciado sesión

Iniciar sesión