Efectos de la protrusión mandibular sobre las características estructurales de los músculos masticatorios y el espacio de la vía aérea superior

Nov 21 de 2025 0
Estudio piloto.

Resumen

Objetivos: La apnea obstructiva del sueño (OSA) es el trastorno respiratorio del sueño más común. El tratamiento de la OSA leve a moderada incluye dispositivos de avance mandibular (MAD). Los distintos grados de protrusión mandibular inducidos por los MAD afectan la disposición tridimensional de los músculos masticatorios. Este estudio piloto tuvo como objetivo observar los efectos de diferentes protrusiones mandibulares en las características de los músculos masticatorios y las vías aéreas superiores en un participante sano.

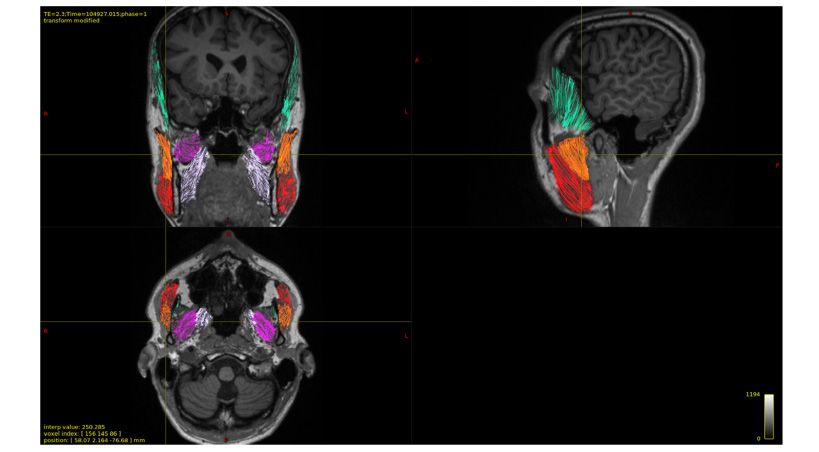
Diseño del estudio: Se obtuvieron imágenes de resonancia magnética (MRI) anatómicas y de imágenes por tensor de difusión (DTI) de la región cefálica de un sujeto masculino sano de 24 años, con la mandíbula estabilizada mediante un MAD personalizado en tres posiciones: posición de mordida habitual (PR=0 mm), protrusión media (PMID=3.5 mm), protrusión máxima (PMAX=7 mm). Se realizó tractografía de líneas de flujo (ST) basada en Desconvolución Esférica (SD). Se dibujaron manualmente máscaras anatómicas para los músculos masetero (superficial/profundo), pterigoideo medial y lateral, y temporal. Se calcularon los ángulos formados por cada fibra muscular detectada proyectada en los planos coronal, sagital y axial, y se analizó su distribución. Además, se determinaron el volumen de la vía aérea y el área mínima de sección transversal (CSAMIN) para cada posición.

Resultados: El método ST capturó la orientación de las fibras de todos los músculos masticatorios. Se observaron variaciones en los ángulos de las fibras musculares y el espacio de la vía aérea en las diferentes posiciones mandibulares. Tanto el volumen de la vía aérea como la CSAMIN aumentaron con el incremento de la protrusión.

Conclusiones: La protrusión mandibular afectó la orientación y la distribución de las fibras musculares masticatorias y el espacio de la vía aérea superior en el sujeto estudiado. Estos hallazgos preliminares respaldan la necesidad de futuras investigaciones en pacientes con OSA.

Madanchi D, Paverd CM, von Deuster C, Sommer S, Rominger MB, Ettlin DA, Gallo LM, Colombo V. Effects of mandibular protrusion on the structural features of the masticatory muscles and upper airway space - a pilot study. J Stomatol Oral Maxillofac Surg. 2025 Oct 6;127(2):102598. doi: 10.1016/j.jormas.2025.102598. Epub ahead of print. PMID: 41061963.

 

Comparte esta noticia



Últimas Noticias

0 Comentarios

Para comentar debes haber iniciado sesión

Iniciar sesión