General
Las imágenes que revelan las bacterias que viven en nuestra boca
El fotógrafo Steve Gschmeissner se ha dedicado a captar el mundo microscópico que habita en nuestro organismo.
General
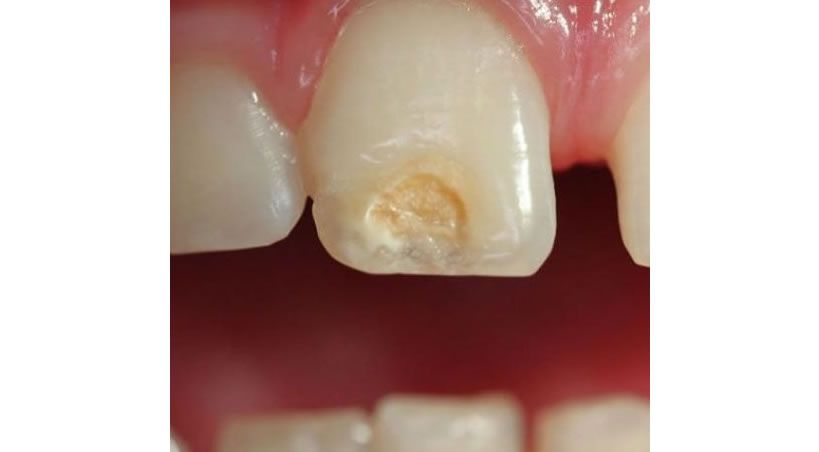
Caries: una perspectiva desde la teoría de la Evolución
El Homo sapiens tiene aproximadamente 250,000 años de antigüedad, pero el cepillo de dientes tiene solo 3-5,000 años
General