General
Cinco mitos sobre las máscaras faciales bajo el microscopio
Desde el comienzo de la pandemia, cada vez más personas usan máscaras faciales.
General
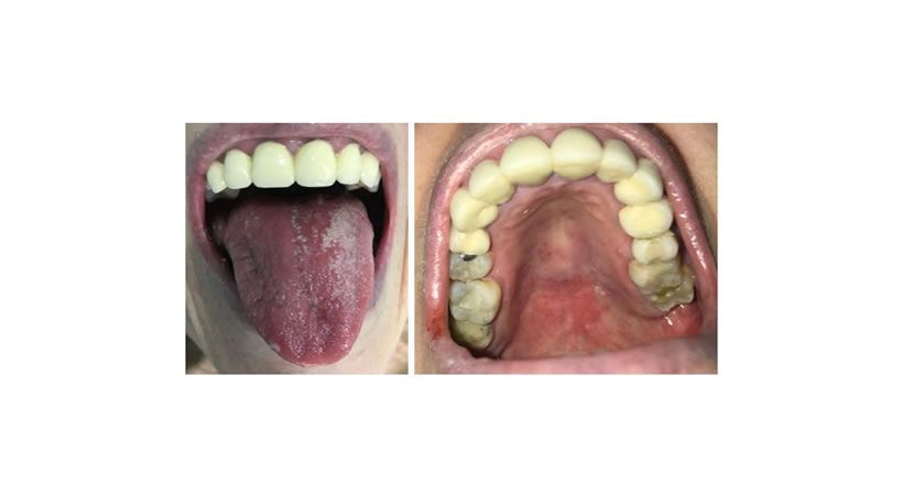
Cuidado bucal para proteger a las personas con enfermedades crónicas
La evidencia científica afirma que las alteraciones en la salud oral repercuten en morbilidades como la diabetes, hipertensión, entre otras.
General